• 非营利性三级综合医院
  • 广东省首批互联网医院
  • 全国异地医保就医直接结算医院
  • 广东省首批互联网医院
  • 广州市120急救网络医院
  • 异地医保就医直接结算医院
  • 广州中医药大学硕士培养基地
  • 广州中医药大学博士培养基地
  • 广州市政府列为重点民生工程
首页>>设备介绍

GE VOLUSON E8高端专用四维彩超

时间:2021-10-04 11:55:47
浏览:1260


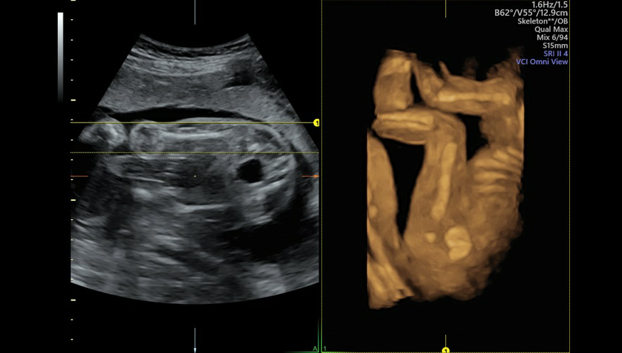
  GE VOLUSON E8是目前世界上先进的彩色超声设备,被誉为“神奇彩超”,是筛查胎儿畸形的尖端设备。它提供了包括腹部、血管、小器官、产科、妇科、泌尿科、新生儿和儿科等多领域的多方面的应用。能够显示未出生的宝宝的实时动态活动图像,或者其它人体内脏器官的实时活动图像。通过四维彩超,孕妈妈躺在床上,就可以通过对面的显示屏直接和宝宝见面,还可以看到宫内胎儿,如打哈欠、伸懒腰、吮手指等等奇妙的动作。

  Voluson E8的3D/4D容积超声技术已经得到了世界范围的广泛认可,Voluson E8除了保持Voluson产品在3D/4D的成像技术优势以外,在2D图像质量,彩色灵敏度方面有很大提高外,在核心技术如探头、波束形成器、成像模式、人机工程方面,均有了革命性的提高。该系统满足了临床超声医学专家在图像质量、人机工程、工作流程、腔内探头等几个方面提出的期待和希望。

  •全新的波束形成器:

  1.无针式探头连接器;

  2.支持有源面阵容积探头技术的波束形成器;

  3.双核CPU计算机处理系统;

  4.为下一代电子容积探头奠定基础;

  •革命性的高频率经阴道容积探头RIC6-12-D:

  Voluson E8的所有容积探头在成像角度上,都具有目前的成像角度,其中,崭新的高频经阴道探头RIC6-12-D满足了超声医学专家的强烈需求:

  1.目前阵元数:256;

  2.频率:12.6MHz

  3.扫查角度:190°×120°(容积)

  该探头将对早孕期的早期诊断产生革命性的影响,可以观察到一些以往不能观察到的结构和细节。如早孕期的胎儿心脏检查,可以在9周观察到以往在中孕期才能观察到的四腔心结构;对高危孕妇如大龄产妇、高血压、糖尿病等等,现在可以在早孕期提供超声心动图检查;对NT的检查,可以提供更高的分辨率;对妇科,对复杂性妇科检查,提高了诊断信息,如可以把子宫图像提高到新的层次,并显示更大角度;
 


 

  •SonoVCAD-Sonography Based Volume Computer Aided Diagnosis:基于容积超声的胎儿心脏计算机辅助诊断,是GE的技术,遵循AIUM(美国医学超声研究所),ISUOG(世界妇产超声学会),ACR(美国放射学会)和ACRG(美国妇产科医师协会)的标准。

  1.自动显示左室流出道、右室流出道、胃泡、静脉连接和主动脉弓等切面;

  2.临床优点:

  •使得图像采集和显示更加标准化;

  •提高胎儿心脏检查的可靠性;

  •减少检查时间;

  •缩短学习胎儿心脏检查的时间;

  •改善和优化了工作流程;

  •胎儿心脏远程会诊;

  目前,结合4D胎儿心脏STIC(Spatio-temporal Image Correlation)技术和SonoVCAD技术,对复杂性先天性心脏病如复杂大动脉转位的诊断,提供了标准和新颖诊断工具。SonoVCAD开创了计算机辅助诊断的先河,这些只是未来超声之门的开启,我们相信,在不远的将来,在胎儿颅脑病变和其它方面,都还会更多的辅助诊断工具的问世。
 


 

  •Z-Score:Z-Score是评价胎儿心脏结构生长的定量工具,包括评估先天性胎儿心脏异常的定量分析。

  1.允许医生精确定量胎儿心脏空间的大小和生长;

  2.使得心脏测量是可对比和可重复的;

  3.进行不同研究者之间的对比研究;

  4.探索胎儿先天性心脏病的生长曲线;

  5.对预后有用的数据库;

  •SonoAVC:Sonography Based Automated Volume Count计算机辅助体积计算

  SonoAVC是GEHC的技术和注册商标,可以快速计算多个液性或低回声暗区的独立体积。如在生殖医学领域,可快速识别、测量所有的卵泡的经线,和与之相垂直的另外两个经线及体积,将测量数据以降序排列,采集完容积后分析时间大约6秒种左右。因此该软件可帮助医生快速获取卵泡的经线,体积,个数,同时降低不同观查者之见及不同测量间的差异。

  人机工程学设计的改变:满足了Society of Diagnostic Medical Sonography’s (SDMS) 的推荐标准。Voluson E8在人机工程学方面具有多项创新技术,并注册了SonoErgonomics TM的技术商标。

  1.19英寸高分辨率液晶显示器;

  2.操作台的高度电动升降;

  3.操作台左右的轻松移动和轻触开关锁定;

  4.探头电缆防缠绕管理系统;

  5.专用的腔内探头安放支架;

  6.探头接口盖板,防尘美观:盖板可翻转,磁固定;

  7.*轻巧的高档机型;

  8.6个USB接口;

  支持*广泛的容积超声应用:包括了两种经阴道容积探头,两种经腹部容积探头,线阵容积探头、经直肠容积探头、经颅脑容积探头

  报告系统:遵照Bi-RADS的乳腺超声标准报告系统,妇科泌尿超声的标准报告系统。

  Voluson E8在支持*广泛的容积超声应用,创新的成像模式,的图像质量和人机工程学设计方面,均具有行业的标准。这些都将对医用超声行业的发展产生深刻的影响,并引领着医用超声发展的未来。

  在妇产超声行业,3D/4D技术已经得到了成熟的应用。Voluson E8作为该领域*专业的档的超声诊断仪,拥有多项独有的和的技术,除了继续保持其在妇产超声领域的旗舰产品的地位以外,在腹部领域,同样具有优异的图像质量。

  Voluson产品由具有60年医用超声、20年容积超声的Kretz工厂研制。该工厂在医用超声研制尤其是容积超声的研制上,一直来都引领着这个行业的发展和进步,并保持了的标准。包括Voluson 730系列,世界上台便携式容积超声诊断仪Voluson i ,和目前医用超声行业端的产品Voluson E8,离线的3D/4D数据分析系统4D View和针对产前诊断的妇产超声数据库管理系统ViewPoint为妇产超声行业提供了完整的产品和技术解决方案。