• 非营利性三级综合医院
  • 广东省首批互联网医院
  • 全国异地医保就医直接结算医院
  • 广东省首批互联网医院
  • 广州市120急救网络医院
  • 异地医保就医直接结算医院
  • 广州中医药大学硕士培养基地
  • 广州中医药大学博士培养基地
  • 广州市政府列为重点民生工程
首页>>健康科普

早查、早诊、早治:战胜肺癌病魔的希望所在

时间:2021-10-04 11:55:47
浏览:687


 

  肺癌是目前最常见的恶性肿瘤之一,对人类健康的危害日益严重。 肺癌的发生与重度吸烟有明显相关性,其发病率和死亡率逐年上升。患病风险吸烟者为不吸烟者的10~80倍,目前肺癌已经成为全球男性和女性恶性肿瘤相关死亡的第一大原因,在美国等发达国家由于其香烟消费逐渐减低,发病率已经由高峰阶段开始下降时,中国等发展中国家随着其香烟消费率走高,肺癌发生率不断攀升,中国肺癌发病率在过去30年上升了465%,并且女性发病呈明显上升趋势。全球肺癌平均5年生存率仅16%,其中IV期肺癌平均5年生存率低于0.5%,而I期肺癌可达65%,其中IA期75%,IB期55%。15%~30%的病例甚至已有肺外播散,但遗憾的是多数肺癌早期无症状,出现咳嗽、痰血等症状而检出时已是中晚期,失去了手术根治的机会,放疗化疗效果不佳,5年生存率不到15%。目前仅10%患者能在早期阶段(I期)被发现。

  难道肺癌发生真的没有“蛛丝马迹”吗?真的无法早期发现吗?并非如此!
 


 

  如果出现症状之后再去进一步确诊往往病情已经较晚,如果能够在肺癌发生的初期捕捉到它所发出的危险信号,岂不是可以为治疗赢得更加宝贵的时间吗?

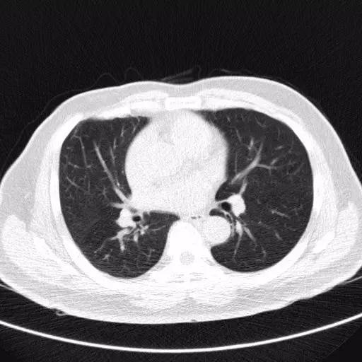
  据统计,1/3以上的肺癌患者早期无任何症状表现,尤其长在周围肺野中的周围型肺癌大多无任何症状。因此,中老年市民和部分具有肺癌高危因素的市民应该选择适当的项目添加至自己一年一度的“体检菜单”中去。目前比较常见的肺部检查包括:常规胸片、胸部CT、低剂量螺旋CT筛查、PET等,分别具有以下特点:

  常规胸片

  常规胸片能检测常常漏诊肺部可疑病灶,特别是孤立性小结节的检出率仅为0.09-0.2%,灵敏度差,且具有非常高的假阴性率和一定的假阳性率。

  胸部CT

  CT比胸片具有更高的灵敏度和特异度,能够显示小结节的二维形态,还能清晰显示小结节周围组织的影像学特点。胸部CT扫描不仅能够更清晰的观察肺部小结节的形态及大小,还能通过不同时间的CT图像动态的比较小结节的变化情况。胸部薄层CT具有更高的分辨率,应该作为评估肺部孤立性小结节性质的首选影像学检查方法。

  低剂量螺旋CT

  欧美和日本自90年代后以低剂量螺旋CT(LDCT)为主要检查方法的大型普查项目均显示肺癌筛查恶性检出率在1%~2%,早期肺癌检出率80%以上,5年甚至10年生存率达80%以上,预期10年生存率可达88%。所有研究数据均表明通过筛查可以改善肺癌病人的生存。目前LDCT技术上日趋成熟,扫描辐射剂量约为2.0mSV,明显低于常规CT,是最有效的肺癌筛查手段。
 


 

  而美国美国国立癌症研究院(NCI)的一项长达10年的肺癌筛查试验的最新结果表明,对高危人群包括吸烟者或前吸烟者的螺旋CT筛查可以使肺癌死亡率降低约20%,这一结论第一时间于2010年10月通过NCI官网发布,并于2011年在新英格兰杂志上报道。

  筛查所带来好处显而易见,同样重要的是,在所有大型国际筛查项目中,都没有数据证明这些一年一次(多数为3年)的低剂量螺旋CT筛查会对参加者产生明显的危害。

  这项由NCI发起的研究耗资25亿美元,始于2002年,全美33个研究点共有53000个年龄在55-74岁的吸烟者参加,他们被随机分配到低剂量螺旋CT(LDCT)组和X线胸片(XR)组,筛查一年一次共3次,随后再追踪观察5年,结果LDCT组肺癌死亡354人, X线组肺癌死亡442人,死亡率LDCT组较X线组降低约20.3%

  PET

  PET是目前已较广泛应用于恶性肿瘤诊断,分期以及评价治疗效果的一种无创影像学检查方法。但FDG-PET在检测肺内小结节方面敏感度较差,另外FDG-PET也有一定的假阴性率和假阳性率。PET对于肺癌的早期诊断并无优势,目前国内外均不推荐采用PET进行常规体检或筛查。

  遗憾的是多数肺癌早期无症状,出现咳嗽、痰血等症状而检出时已是中晚期, 5年生存率不到15%。我们提倡筛查,即是提倡没有任何症状的人群也应该每年一次进行低剂量螺旋CT筛查,而不是每年一次常规体检拍胸片,这样才能早期发现肺癌,改善生存,降低死亡。

  除了常规体检,平时如果有咳嗽、感冒等不适症状,均应及时在专业医师指导下进一步检查,以明确病变性质,防止漏诊。

  需要警惕的是,肺内炎症有时在胸片及CT上可能会掩盖住肿瘤的征象,所以在医师指导下使用药物治疗肺部炎症之后,应及时复查胸部CT以防止漏诊。

  如果肺部体检报告提示“肺部小结节”或“磨玻璃/磨玻璃样阴影”,就要重视,应该尽快找有经验的胸外科医师详细解读CT片,提供进一步检查或治疗的建议。

  此外,有些描述,例如“陈旧性病变”、“纤维条索影”、“钙化灶”、“肺纹理增粗”等需要与临床症状及其他体检结果,综合起来考虑,如果没有任何不适症状,对上述描述可不必过分焦虑,定期常规体检即可。
 


 

  总之,我们建议:具有以下危险因素的高危人群:

  *吸烟史≥400年支(计算方法:每天吸烟支数乘以吸烟年数)

  *吸二手烟史>20年, 有肿瘤家族史,年龄>45,有毒有害致癌物接触史

  应该每年进行一次低剂量螺旋CT筛查,如发现肺内病变,应在专业医师建议下进一步查胸部薄层CT或胸部增强CT。

  目前,在临床上治疗肺癌的方法主要包括:微创手术治疗、放射治疗、化学治疗、免疫治疗和中医药治疗等。需要强调:肺癌是一种全身性疾病,在选择治疗方案时应根据肺癌的不同组织类型,分期以及病员全身情况采取综合评估,施以个体化的综合治疗。

  一般而言,微创手术治疗(胸腔镜手术及微创开胸手术)适用于有手术治疗指证的非小细胞肺癌患者。复旦大学附属肿瘤医院率先在国内开展各种微创手术治疗肺癌。在不损伤胸壁肌肉,不切除肋骨的同时,保证有一个安全的手术视野,五千余例的临床实践也证实微创手术对绝大部分有手术指征的肺癌,不但能彻底切除原发病灶,还能进行彻底的纵隔淋巴结清扫。目前在复旦大学附属肿瘤医院采用微创手术方法治疗的肺癌患者,第二天基本就可以下床活动,这使病人住院时间明显缩短,医疗费用也明显下降。

  总之,肺癌的治疗要根据不同的肺癌类型、分期,采用手术、化疗、放疗、免疫治疗为主,局部治疗结合全身治疗的综合治疗手段。尽管一些晚期的肺癌患者不能获得完全的治愈机会,但是合理有效的综合治疗却能给患者提供一个“带瘤生存”的机会,不仅延长了生命周期,更重要的是,生活质量也得到了显著提高。